Terveys

Broholminkoira on pääosin perusterve ja elinvoimainen rotu. Kuten kaikilla koiraroduilla, myös broholmereilla voi kuitenkin esiintyä perinnöllisiä ja rakenteellisia sairauksia. Rodun suuri koko ja raskas rakenne asettavat omat erityisvaatimuksensa terveyden ylläpitämiselle varsinkin pennun ollessa 3-9 kk ikäinen sekä koko koiran elinkaaren ajan.
Isot ja nopeasti kasvavat rodut ovat alttiita erilaisille kasvuhäiriöille sekä tuki- ja liikuntaelimistön ongelmille. Näiden kehittymiseen vaikuttavat perinnöllisten tekijöiden lisäksi merkittävästi myös ympäristötekijät, kuten ruokinta, liikunnan määrä ja laatu sekä kasvuiän kuormitus. Tasapainoinen ruokinta ja maltillinen, ikään sopiva liikunta ovat keskeisiä tekijöitä terveen kehityksen tukemisessa.
Vastuullisessa jalostuksessa terveyttä pyritään edistämään tutkimalla jalostukseen käytettävät koirat ja huomioimalla tulokset paritusvalinnoissa. Yhtä tärkeää on koiran omistajan rooli: säännöllinen terveydentilan seuranta, oikea painonhallinta ja koiran rakenteeseen sopiva arki- ja harrastusliikunta tukevat broholminkoiran hyvinvointia ja pitkäikäisyyttä.
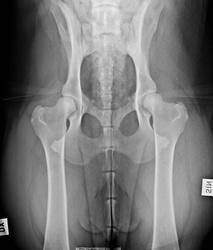
Broholminkoirilla seurattavia ja rodussa esiintyviä tuki- ja liikuntaelimistön sairauksia ovat muun muassa selän spondyloosia, joka on selkärangan rappeuttava sairaus ja voi ilmetä erityisesti iän myötä. Lonkkanivelen dysplasia (HD) ja kyynärniveldysplasia (ED), jotka voivat vaikuttaa koiran liikkuvuuteen ja elämänlaatuun eri asteisesti.
Broholminkoirilla esiintyviä sairauksia:
Spondyloosi on selkärangan rappeuttava sairaus, jossa nikamien väliin muodostuu luusiltoja. Muutokset kehittyvät yleensä hitaasti ja voivat olla pitkään oireettomia. Oireisena spondyloosi voi aiheuttaa jäykkyyttä, liikkumishaluttomuutta tai kipua. Sairauden ilmeneminen lisääntyy iän myötä, ja sen vaikutuksia voidaan usein lieventää oikealla liikunnalla, lihaskunnon ylläpidolla ja painonhallinnalla.

Kyynärniveldysplasia (ED)
Kyynärniveldysplasia on kasvavan koiran eturaajojen kehityshäiriö, joka voi johtaa nivelrikkoon. Se voi ilmetä ontumisena, jäykkyytenä tai liikkumisen epäsymmetriana. Perinnöllisyyden lisäksi kasvuajan ruokinta, liikunnan määrä ja kuormitus vaikuttavat sairauden kehittymiseen. Varhainen toteaminen ja oikeanlainen hoito voivat parantaa koiran elämänlaatua merkittävästi.

Kuvassa on terve kyynärnivel, keltaisella on esitetty ne kohdat, joihin nivelrikkoa yleisimmin kehittyy.
Lonkkaniveldysplasia (HD)
Lonkkaniveldysplasia on lonkkanivelen kehityshäiriö, jossa nivel ei ole rakenteeltaan täysin normaali. Oireet vaihtelevat lievästä jäykkyydestä aina selvään ontumiseen. Kaikki dysplasiaa sairastavat koirat eivät ole oireisia. Perinnöllisten tekijöiden lisäksi lonkkanivelen terveyteen vaikuttavat muun muassa kasvuajan kuormitus, lihaskunto ja painonhallinta.

Olkanivelen osteokondroosi on kasvuhäiriö, jota esiintyy erityisesti suurilla ja jättirotujen nuorilla koirilla. Siinä nivelen rusto ei kehity normaalisti, vaan paksuuntuu ja voi osittain irrota luun pinnasta. Sairaus todetaan useimmiten 3-9 kuukauden iässä, yleisimmin ennen vuoden ikää.
Tyypillisiä oireita ovat ontuminen, joka voi pahentua rasituksessa, haluttomuus liikkua ja hypätä, kipua olkaniveltä taitettaessa. Joissakin tapauksissa koira voi olla pitkäänkin lähes oireeton.
Koiralla voi olla osteokondroosi muutoksia yhdessä tai useammassa nivelessä, mutta kaikki muutokset eivät aiheuta koiralle oireita. Osteokondroosi voi esiintyä myös yhtä aikaa kyynär- ja lonkkanivelen kasvuhäiriön kanssa.
OC:lla on perinnöllinen tausta, vaikka myös nopea kasvu, ravinto ja liikunnan määrä vaikuttavat sen kehittymiseen. Siksi terveystutkimukset ja harkitut jalostusvalinnat ovat tärkeitä. Varhainen diagnoosi ja tarvittaessa hoito parantavat ennustetta. Oikealla hoidolla moni koira voi elää hyvän ja aktiivisen elämän.
Olkanivelen OC on yksi niistä sairauksista, joiden osalta avoin terveystieto tukee rodun pitkäjänteistä ja vastuullista jalostustyötä.
Polven ristisidevaurio tarkoittaa polvinivelessä sijaitsevaa eturistisiteen (ALC) osittaista tai täydellistä repeämää. Ristisidevammat ovat yleisiä sekä pienillä että isoilla koiraroduilla.
Toisin kun äkillinen tapaturma antaa ymmärtää, vaurio kehittyy usein vähitellen. Ristiside heikkenee ajan myötä ja voi lopulta revetä normaalin liikkeen yhteydessä.
Tyypillisiä oireita ovat äkillinen tai paheneva takajalan ontuminen, välitön kova kipu, haluttomuus liikkua tai hypätä, jäykkyys levon jälkeen sekä polven turvotus. Ilman hoitoa polveen kehittyy usein nivelrikko.
Ristisidevaurioiden taustalla vaikuttavat useat tekijät: rakenne, paino, kasvu, liikunta ja mahdollinen perinnöllinen alttius. Isoilla roduilla suuri koko ja nopea kasvu kuormittavat niveliä voimakkaasti.
Painonhallinta, hallittu liikunta kasvuaikana ja terveet jalostusvalinnat ovat keskeisiä ennaltaehkäisyssä. Varhainen eläinlääkärin tutkimus ja tarvittaessa kirurginen hoito parantavat ennustetta merkittävästi.
Vatsalaukun kiertymä (GVD)
Vatsalaukun kiertymä eli mahalaukun laajentuma ja kiertymä on hengenvaarallinen hätätila, jota esiintyy erityisesti suurilla ja syvärintaisilla roduilla. Tilasta käytetään usein lyhennettä GDV - gastric dialtation-volvulus.
Kiertymässä mahalaukku täyttyy kaasulla ja voi kiertyä akselinsa ympäri. Tällöin mahalaukun verenkierto heikkenee aiheuttaen nopeasti shokkitilan - koiran tila voi romahtaa nopeasti.
Oireita ovat vatsan voimakas turpoaminen (erityisesti vasemmalta puolelta), yritys oksentaa, kuolaaminen, kova kipu ja levottomuus. Älä odota vaan vie koira välittömästi eläinlääkäriin – kyse on minuuteista. Kyseessä on aina päivystyksellinen tilanne.
Diagnoosi tehdään röntgenkuvalla. Hoito vaatii lähes aina kiireellisen leikkauksen, jossa mahalaukku oikaistaan, tyhjennetään ja usein kiinnitetään vatsan seinämään (gastropeksia) uusiutumisen estämiseksi.
Oireet:
Nopea vatsan laajeneminen, toistuva yökkäily/oksentamattomuus, lisääntynyt kuolaaminen, kova vatsakipu (voi jännittää tai olla kosketusarka), levottomuus, nopea hengitys, heikkous, apaattisuus.
Älä anna ruokaa tai vettä.
Vatsalaukun kiertymä on vakava, mutta oikealla tiedolla ja nopealla toiminnalla monen koiran henki voidaan pelastaa.
Iho-oireet
Kuten monilla suurilla ja riippukorvaisilla koirilla, korvat ja iho voivat oireilla ajoittain. Riippuvat korvat altistavat kosteuden kertymiselle, mikä voi lisätä tulehdusriskiä.
Koirien yleisimpiä iho-oireita ovat jatkuva kutina, punoitus, karvanlähtö, hilseily, hajut, "hot spot" -ihottuma ja toistuvat korvatulehdukset. Oireet ilmenevät usein tassuissa, korvissa, vatsassa ja nivusissa. Taustalla on usein atopia, allergia, loiset, infektiot tai hormonaaliset häiriöt.
Korvatulehdus: Yleisempiä syitä on hiiva- tai bakteeritulehdukset. Oireina on pään ravistelu, korvan raapiminen, punoitus ja turvotus, ruskea tai kellertävä erite, epämiellyttävä haju. Toistuvat tulehdukset voivat liittyä allergiaan tai atopiaan.
Hiivakorva rakastaa lämpöä ja kosteutta. Oireena on tummanruskea, kahvinporomainen erite, voimakas makeahko haju sekä kutina.
Esimerkiksi allerginen ihottuma voi näkyä myös korvalehdissä punoituksena, paksuuntuneena ihona sekä karvanlähtönä reunoilta.
Iho: Iho-ongelmat voivat ilmetä kutinana, punoituksena tai paikallisina tulehduksina. Allergiat voi olla ruoka- tai ympäristöperäisiä. Oireena on kutina korvissa, kainaloissa, tassuissa sekä nivusissa, toistuvat korvatulehdukset, punoitus sekä nuoleminen ja kaluaminen.
Hot spot eli akuutti kosteaihotulehdus: Märkivä, kostea, kivulias ihoalue. Yleensä niskassa, kyljessä tai korvan alla. Saattaa kehittyä vuorokaudessa. Leviää nopeasti ja on koiralle kivulias.
Karvatupentulehdus: Pienet näppylät, ruvet karvanlähtö laikkuina
Ihopoimujen tulehdus: Jos koiralla on löysää ihoa tai kaulapoimuja niissä voi esiintyä punoitusta poimun sisällä, haju sekä kostea iho.
Ennaltaehkäisynä:
tarkasta korvat säännöllisesti
kuivaa korvat huolellisesti uimisen jälkeen
pidä iho ja poimut puhtaina
reagoi nopeasti ensimmäisiin kutinan merkkeihin
Suomen Kennelliiton KoiraNet-jalostustietojärjestelmästä löytyy Suomessa rekisteröityjen broholmereiden tiedot ja terveystilastot.
Täytäthän koirastasi Terveyskyselyn, vaikka koirasi olisi terve.
